你有没有听说过杏红视频?最近这玩意儿在网上可是火得一塌糊涂呢!想象你坐在家里,轻松一点开手机,就能看到各种精彩纷呈的内容,是不是...
你有没有想过,那些在优酷上看到的好视频,怎么才能把它们下载到自己的电脑上呢?是不是觉得这事儿有点儿复杂,其实,只要掌握了正确的方...
你有没有看过那些让人捧腹大笑的猫抓老鼠视频?那种场面,简直就像是一场精彩的戏剧,让人忍不住想一探究竟。今天,就让我带你走进这个充...
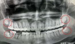
你知道吗?拔智齿这个话题,最近在网络上可是火得一塌糊涂呢!很多人都在好奇,拔智齿到底是个啥样的过程,是不是像传说中的那么恐怖?今...
你有没有发现,最近网上那些大美女的视频简直让人停不下来啊!各种风格,各种场合,简直就像是一场视觉盛宴。今天,就让我带你一起探索这...
你有没有想过,那些看似复杂的美食,其实只要掌握了正确的方法,你也可以轻松上手呢?今天,就让我带你走进纳豆的世界,手把手教你如何制...
亲爱的读者们,今天我要给大家分享一个超级实用的技能——鱼骨辫的编法!是不是觉得鱼骨辫听起来就很高雅又有点儿复杂?别担心,我找到了...
说到在线看视频,这可是现在年轻人的日常必备技能呢!你有没有过这样的经历,手机一掏出来,眼睛一瞟,就沉浸在那些精彩纷呈的视频世界里...
你有没有发现,最近网上那些曰韩在线视频真是火得一塌糊涂啊!不管是年轻人还是中年人,都纷纷加入了追剧的行列。今天,就让我带你一起深...
亲爱的读者们,你是否曾在逛商场、展览馆或者街头时,被那些色彩斑斓、造型独特的门型展架所吸引?它们就像街头巷尾的魔术师,瞬间就能将...